EQUIPO DE ALTA CALIDAD

Tecnología de Última Generación.

Nuestras instalaciones en Guadalajara cuentan con equipos de resonancia magnética de última generación diseñados específicamente para el bienestar de tus compañeros peludos. Con tecnología avanzada, obtenemos imágenes de alta resolución que permiten un diagnóstico preciso y un plan de tratamiento efectivo.

HACER UNA CITA

Imágenes de Calidad Premium

VET MR GRANDE

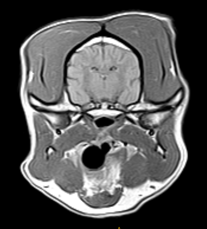
IMÁGENES CLÍNICAS

En la sección de imágenes clínicas, destacamos la precisión y claridad de nuestros estudios, respaldados por un equipo de radiólogos especializados en medicina veterinaria. Nos enorgullece ser un aliado confiable para veterinarios y clínicas, brindando un servicio rápido y eficiente para ayudar en la toma de decisiones clínicas fundamentadas.


¿Como solicitar los segmentos de columna?



SEGMENTOS RESONANCIA DE COLUMNA PARTES DE LA COLUMNA
CERVICAL CERVICAL 1 - CERVICAL 7
CERVICOBRAQUIAL CERVICAL 6 - TORACICA 2
TORACICO TORACICA 4 - TORACICA 13
TORACOLUMBAR TORACICA 10 - LUMBAR 3
LUMBAR LUMBAR 1 - LUMBAR 7
LUMBOSACRO LUMBAR 4 - SACRO Y PRIMERAS COCCIGEAS

Precisión Diagnóstica

Utilizamos resonancia magnética para obtener imágenes detalladas de tejidos blandos, articulaciones y el sistema nervioso central, permitiendo diagnósticos más precisos.

Sin Radiación Ionizante

A diferencia de algunas técnicas de imagen, la resonancia magnética no utiliza radiación ionizante, lo que la convierte en una opción segura y no invasiva para las mascotas.

Colaboración con Veterinarios

Trabajamos estrechamente con veterinarios para proporcionar información crucial que respalde la toma de decisiones en el plan de tratamiento de cada paciente.

¿Por Qué Elegirnos?

Nuestro compromiso con la excelencia se refleja en la atención personalizada que ofrecemos a cada cliente, asegurándonos de satisfacer sus necesidades específicas y proporcionar informes detallados que faciliten la interpretación de las imágenes. Confíe en nosotros para obtener imágenes clínicas de resonancia magnética animal que impulsen la calidad de la atención veterinaria y mejoren la salud y el bienestar de los animales que atendemos.

Equipo Especializado

Contamos con un equipo de profesionales altamente capacitados y dedicados al cuidado de la salud de los animales.

Compromiso con el Bienestar Animal

Nos esforzamos por garantizar que cada mascota se sienta segura y cuidada durante todo el proceso.

Rapidez en los Resultados

Trabajamos eficientemente para proporcionar resultados precisos en el menor tiempo posible, permitiendo una rápida toma de decisiones médicas.

Ubicación Céntrica en Guadalajara

Nuestra ubicación conveniente en Guadalajara facilita el acceso para aquellos que buscan servicios de resonancia magnética veterinaria de calidad.

Contáctanos

¡Contáctanos hoy para más información y para programar una cita!

Dirección

Av Rafael Sanzio 758,Arcos de Guadalupe,
45037 Zapopan, Jal.

Llámanos
+52 33 3709 2123
Deseo hacer una cita